1. 全瓷牙
  2. 牙齿美容
  3. 瓷贴面美牙
  4. 牙贴面的价格
  5. 牙齿断了
  6. 烤瓷牙种类
  7. 烤瓷牙VS全瓷牙
  8. 烤瓷牙多少钱
  9. 在线问答
 

牙齿美观究竟有多重要?

 
 

How important is teeth is beautiful or not on earth?

 

健康、迷人的笑容对人际交往非常重要,你的笑容对别人的影响比你想象的更重要。而牙齿问题是影响面部美观的重要因素。

 
点击了解更多详情
 
 

哪些问题需要进行美学修复?

 
 

Teeth problems which need to aesthetic repair?

 
 
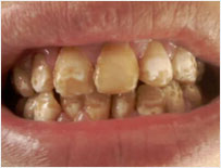
  • 中、重度氟斑牙

  • 重度四环素牙

  • 牙齿缺损

  • 牙釉质发育不全

  • 牙间隙

  • 烤瓷牙失败

 
类似症状点击咨询
 
 

如何判断美牙修复好坏

 
 

How to judge the tooth repair

 
 
 
 
 
 

康贝佳牙齿美容修复技术

 
 

Kang Beijia teeth cosmetic repair technology

 

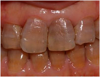
全瓷美牙冠

 
外表美观    全瓷仿真牙材料,完全媲美真牙

 

安全不刺激    不刺激牙髓、无牙龈发黑红肿现象

 

适应症    氟斑牙、老鼠牙、地包天、前牙拥挤、前牙稀疏、牙列不齐、牙齿缺损、错过矫正黄金时期的成年人以及重度四环素牙等

 

 
点此咨询了解更多详情
 

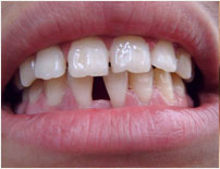
康贝佳瓷贴面

 
超薄瓷片    超硬全瓷贴面,避免或减少磨牙

 

舒适快速    无痛贴装,使用进口试色剂,色泽逼真

 

适应症    轻微牙齿不齐、四环素牙、氟斑牙、黄牙、黑牙、牙缝隙等

 

 
 

彩光牙齿美白

 
效果显著    快速美白,迅速提高牙齿色阶

 

安全美白    采用原装美国牙美白材料,舒适无刺激

 

适应症    四环素牙、增龄性变色牙、氟斑牙、茶渍牙及其他变色牙等

 

 
 

超声波洁牙

 
深层清洁    快速美白,迅速提高牙齿色阶

 

舒适护牙    无需麻醉无酸痛感,有效预防各类牙周疾病象

 

适应症    牙菌斑、牙结石、黄黑牙、烟渍牙、茶渍牙、色素牙等

 

 
 

诚于精品,给您更多的修复选择

 
 

Kang Beijia teeth cosmetic repair technology

 
 
 
 

瓷贴面可以治疗变色牙吗?

瓷贴面是可以治疗变色牙的,瓷贴面是将薄瓷贴于牙齿表面,能达到美观的效果,效果还是很不错的,广受患者的青睐。

 
 

四环素牙做美白效果如何?

不同程度四环素牙的治疗方法是不一样的。医学上对于轻中度的四环素牙采用牙齿美白的方法,难而重度四环素牙只能通过美牙冠才可修复。

 
 

美容冠治疗大概需要多长时间?

美容冠是目前成人牙齿矫正的多数选择方式,生物相容性好,牙龈不会出现黑线,只需7天到院两次,就可到达的美牙效果。

 
 
更多疑问,在线咨询
 

相关阅读

 

沈阳口腔美容医院

一口健康的牙齿,一个动人的微笑,可以改变一个人的脸型和整体气质,从.....

 

牙齿嵌体可以用几年

牙齿的缺失和损坏需要通过补牙来修复,通常情况下会选择用嵌体来补牙,.....

 

烤瓷牙的种类

烤瓷牙是牙齿美容中的一种常见的医疗方式,烤瓷牙根据材料的不同可以分.....

 

树脂贴面和瓷贴面的区别

牙齿贴面主要是用于牙齿美容修复,分为树脂贴面和瓷贴面。两者都是可以.....

 

烤瓷牙哪里便宜

烤瓷牙应用非常广泛,可以修复四环素牙、氟斑牙、畸形牙、变色牙及各种.....

 

全瓷烤瓷牙多少钱一颗

我们知道,全瓷牙是烤瓷牙中的一种,而与普通烤瓷牙相比,全瓷牙不论从.....

 

全瓷牙和烤瓷牙的区别

很多人或许会误以为全瓷牙就是烤瓷牙,二者没什么差别。但是事实上却并.....

 

牙齿掉了一块怎么办

牙齿如果缺损(掉了一块),很容易因为碎小的食物卡在牙洞里倍感不适,.....

 

烤瓷牙有哪些种类,价格是多少?

烤瓷牙的适应症较广,严重的口腔牙列不齐、牙缝、四环素牙、氟牙症、畸.....

 

牙齿有缝隙怎么办?

牙缝是指牙与牙之间存在间隙,没有正常的邻接关系。牙缝容易塞牙,损伤.....

查看更多>

咨询热线:024-31657653

美容修复

烤瓷牙和全瓷牙哪种修复方式好?

导读: 很多想做烤瓷牙的朋友在刚了解这方面知识的时候都有点糊涂, 全瓷牙和烤瓷牙有什么区别呢.....

 

沈阳口腔美容医院

一口健康的牙齿,一个动人的微笑,可以改变一个人的脸型和整体气质,从而让.....

 

牙齿嵌体可以用几年

牙齿的缺失和损坏需要通过补牙来修复,通常情况下会选择用嵌体来补牙,嵌体.....

 

烤瓷牙的种类

烤瓷牙是牙齿美容中的一种常见的医疗方式,烤瓷牙根据材料的不同可以分为不.....

 

树脂贴面和瓷贴面的区别

牙齿贴面主要是用于牙齿美容修复,分为树脂贴面和瓷贴面。两者都是可以直接.....

 

烤瓷牙哪里便宜

烤瓷牙应用非常广泛,可以修复四环素牙、氟斑牙、畸形牙、变色牙及各种牙体.....

 

全瓷烤瓷牙多少钱一颗

我们知道,全瓷牙是烤瓷牙中的一种,而与普通烤瓷牙相比,全瓷牙不论从效果.....

 

全瓷牙和烤瓷牙的区别

很多人或许会误以为全瓷牙就是烤瓷牙,二者没什么差别。但是事实上却并非如.....

 

牙齿掉了一块怎么办

牙齿如果缺损(掉了一块),很容易因为碎小的食物卡在牙洞里倍感不适,甚至.....

 

烤瓷牙有哪些种类,价格是多少?

烤瓷牙的适应症较广,严重的口腔牙列不齐、牙缝、四环素牙、氟牙症、畸形牙.....

 

牙齿有缝隙怎么办?

牙缝是指牙与牙之间存在间隙,没有正常的邻接关系。牙缝容易塞牙,损伤牙周.....

口腔顾问 在线咨询

我们时刻准备着
为尊贵的您解答口腔健康问题
点击在线提问
咨询热线:024-31657653(点击拨号)

咨询热线:024-31657653

首页 | 品牌简介 | 医疗团队 | 来院路线 | 环境

咨询电话:024-31657653

沈阳院:沈阳市和平区阜新二街35号

Copyright@2009-2024 KB+ All Rights Reserved

版权所有 沈阳康贝佳口腔