天气寒冷引发“种牙热” 年关将近种好牙过新年
发布日期:2018-04-13 来源:沈阳康贝佳口腔天气越来越寒冷,而康贝佳口腔种植牙专线却却一天比一天热起来。时至年关牙齿缺失选择做种植牙修复的市民越来越多。
康贝佳口腔种植科主任慕主任表示,种植牙一年四季都可以做,但冬季做更加适宜些。正因为如此,每年的年底,都会迎来口腔种植的高峰期。年关将近,还有很多缺牙患者就想趁着这个时候把牙齿种回来,好过一个有滋有味的新年。
冬季是种牙好时机
冬季是缺牙患者做种植牙的较好的时机,因为冬季天气寒冷干燥,不利于细菌繁殖的环境,感染的可能微乎其微,能够有效的加快种植牙手术后微小创面的愈合,有利于种植牙的存活。
此外有一部分中老年人身体较虚弱,冬季气温下降,如果牙齿不好,影响进食,食物种类和营养摄入量不足,可能会加速体质下降,抗病能力减弱,病菌可能趁虚而入,引发各种疾病。所以牙齿缺失了,一定要及早修复,不能久拖。

现在把牙种上,春节才能享好口福
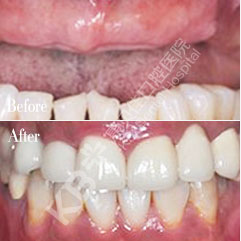
66岁的王阿姨,从几年前牙齿就可以陆陆续续的脱落了,上颌的牙齿只剩2颗,门牙也没了,不仅影响吃饭,看上去也很显老态。她更大的愿望就是能在年前种好牙,时间这么紧,担心来不及。上周,她在康贝佳种植科咨询。
“如果是传统的种植牙春节前拥有一口好牙肯定老不及。但是现在先进的微创即刻种植技术不需要这么麻烦,可以当天就种好牙。”慕林林主任为王阿姨做了检查,发现发现他上颌的牙槽骨已开始萎缩缺失牙的数量多,建议她选择性价比更高、更适合多颗缺失的All-on-4种植牙技术。
两天后,慕主任为王阿姨种牙,种了4颗种植体,就恢复了整排上颌牙齿,手术当天完成,当晚,王阿姨就吃上了排骨。
医生特别提醒:虽然冬天种牙外在条件好,很多市民也急需一口好牙过新年,但是种植牙毕竟是一种植入性手术,决不能大意,一定要选择有种植牙资质、技术成熟、经验丰富的医生,接受正规的种植牙治疗,这样术后治疗效果才能有保障。
康贝佳岁末种植大咖亲诊季 种牙预约火爆
作为全国连锁专业齿科医院,康贝佳口腔引进了众多种牙先进设备,同时加强与超越种植牙技术的交流,2017年,康贝佳与多国的种植牙医生建立合作,把先进的种植牙技术引进国内。
为了满足年末巨大种牙需求量,康贝佳集结中、德、意、韩多位种牙大咖,为市民亲诊种牙,让更多的缺牙患者感受到精湛的种牙技术,同时确保能在年前能够拥有一副健康好牙,春节能够尽享口福。
微创即刻种植技术 当天种牙当天用
康贝佳引进先进微创即刻种植技术,手术仅有3~4毫米的小切口,将与人体相容性较好的纯钛材料“种”入口腔内,植入手术只需要几分钟即可以完成,几乎微痛苦。创伤小,恢复快,术后即可进食。 ALL-ON-4全/半口种植,突破骨量不足的缺陷,只需4颗植体种半口牙,痛苦小、省时更省钱。

康贝佳口腔 单位 透明定价制
康贝佳口腔作为连锁品牌医院,市单位,实行"透明定价制",每种药品、每项检查、每项服务、每一笔门诊都公开,保障每位患者都能真正地明白就医,清楚付费。
- 上一篇:种植牙可以走报销吗
- 下一篇:种植牙要具备什么条件?三大要求缺一不
















