门牙掉了怎么办
发布日期:2018-04-13 来源:沈阳康贝佳口腔生活中,难免都会有一些小意外发生。比如:牙断了一半?牙掉了一块?牙碎了一点等,我们总是倍感怜惜。康贝佳口腔医生指出:如果牙齿断裂、破碎不严重的话,只需要简单地修补即可;若过于严重,超过了三分之二的话,就要先行治疗,再做修补,必要时要考虑加冠的保护,具体情况需要根据牙齿破裂的状况进行修复。

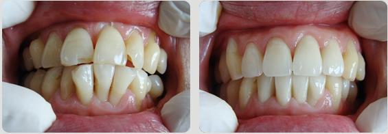
上图为张女士在我院修复的对比图
需要注意的是,牙与牙之间的不良接触关系,形成了比较难清洁地区,很容易滞留牙菌斑、食物残渣等。从而导致牙龈炎、牙结石、口腔溃疡、口臭、龋坏等口腔疾病的发生。所以要及时治疗,避免其它口腔疾病,从而增加治疗费用。
牙齿受损程度:轻度
及时到院,对受损的牙齿进行清洗,再拍口腔CT ,确定牙齿牙根是否折断,如果牙根有折断,牙齿可能就要拔除,如果没有可以采用美国3M纳米树脂进行简单的修复,就可以恢复原貌。费用一般在几十到几百左右,具体费用要看您的牙齿位置和选择的材料而定,建议及时修复,不然后期后期牙齿会慢慢地破损,到时严重的话,只能选择做牙冠保护。

图文为林女士采用仿生牙冠修复图
牙齿受损程度:中度
牙齿受损程度为中度时要及时进行清洗,先行根管治疗,再行修补,可以采用美学仿生美学修复,美学原理角度,精心设计,避免崩瓷,脱瓷的现象,对口腔无害。康贝佳美学仿生美学修复在牙科治疗、恢复牙齿功能的同时包含了美容的因素,治疗后可以恢复牙列的形态、功能和美观!《了解牙齿受损情况,咨询具体费用》

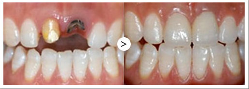
上图为今年李先生采用种植牙的修复效果图
牙齿受损程度:重度
此时牙齿需要及时清洗,进行根管治疗,根据牙齿受损的具体情况,可以采用美学仿生美学修复或微创即刻种植,该技术全程微痛,即种即用,让缺牙者享有酷似真牙带来的体验。有别于以往传统种植牙的弊端,微创即刻种植牙更具临床优势,成活率较高 骨结合更牢,排斥率较低;手术时间更短,全程微创,舒适微痛,注重维护。《了解牙齿受损情况,咨询具体费用》
康贝佳专业品牌口腔 治疗牙齿更有保障
沈阳康贝佳口腔作为全国连锁品牌,在进驻沈阳近10年的时间里,一直致力于为广大市民提供精准快捷的种植牙解决方案。不仅医生实力有保障,同时其完善的诊疗设备、高标准的无菌操作要求、舒适的诊疗环境和贴心的跟踪维护服务等,更能全方位保障种下去的牙美观、坚固、长久、耐用。
1、全国品牌连锁口腔 市机构
2、先进种牙设备、高标准无菌操作环境
3、与多家品牌种植牙材料厂商直接合作
4、先进微创即刻技术 微创即种即用
5、中外种牙医生亲诊 安全保障
抓住合适的治疗时机 尽早保护自己的牙齿【点击咨询 免费申请】医生临床检查,预先了解自己的牙齿破损情况,采用何种治疗方案合适,需要花多少钱等等,然后再做决定!
- 上一篇:镶牙可以用社保卡吗,听听更准确的解答
- 下一篇:大牙掉了怎么办














