洗牙要多少时间,能去除牙结石吗
发布日期:2018-07-16 来源:沈阳康贝佳口腔牙龈与牙齿之间存在一定的缝隙,日常的刷牙不能高效地解决龈沟内附着的菌斑、牙石和积存等,增加了口腔残存异物和附着牙菌斑的几率。
牙结石一旦形成后,使用一般的刷牙方法不易去除,长时间会对牙龈形成一种持续性的压迫和刺激,使牙龈组织局部营养发生障碍,抵抗力下降,有利于细菌的生长繁殖,而发生炎症。
牙结石应该怎么去除
洗牙是去除牙结石的有效方法, 康贝佳超声波洗牙利用超声波产生的高频、高能振动通过光滑的超声波洁治机,把牙齿表面的牙结石、牙渍击碎,然后通过洁治机产生的水雾把碎石冲刷下来。能够清除牙结石、牙菌斑,令牙周组织时刻保持健康。>>洗牙多少钱,点击咨询

1、快速:一次洁牙,清洁、保健、美齿只需30分钟。
2、有效:对牙结石、黄牙、烟斑牙等效果立竿见影。
3、轻松:无痛无副作用,在休闲等待中轻松度过。
出现这些情况,你需要洗牙了

洗牙大约多长时间
超声波洗牙一般在30分钟左右,具体的还要看个人牙齿的自身情况是怎样的。如果牙齿结石很严重,那么用超声波洗牙需要的时间相对就要长一些。

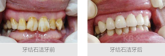
左图为重度牙结石,右图轻度
举个例子,一个从来没有洗过牙、平时不注意口腔卫生、多数牙被大量牙垢覆盖、每天吸烟一包的中年大叔来洗牙,可能就要花近两个小时的时间;另一个每半年洗一次牙、每天认真刷牙用牙线的年轻姑娘来洗牙,可能就只需要20-30分钟。
>>>康贝佳提前预约到院,免排队,预约热线 024-31657653
定期洗牙对牙齿好
很多人对洗牙有误区,认为洗牙会导致牙敏感、牙缝变大。其实洗牙不仅对牙齿没有伤害,还可以有效预防口腔疾病。为保持牙齿长期清洁及口腔健康,医生建议定期洁牙,一般六至十二个月洗一次较佳。

误区纠正: 洗牙要磨牙会伤害牙体
洗牙只是除掉牙齿上附着的异物,不会除掉白色牙体;若牙齿表面不光滑,可做抛光后牙齿变光滑,而非过去牙体被磨粗糙。>>>直接咨询医生
误区纠正: 洗牙会让牙缝越来越大
这是由于没洗牙前,很多牙石堆在牙缝处,导致牙周炎或烂牙,牙周炎会使细细的牙根外露,看上去就像是牙缝变宽了。>>>直接咨询医生
康贝佳洗牙一人一用一消毒
洗牙对设备及消毒措施要求很严,稍不注意,就会造成交叉感染或牙齿出现大量出血,牙齿不同 程度的损伤等现象,因此在洗牙时,务必要注重洗牙的消毒环境,健康洗牙!
康贝佳口腔采用无菌消毒,实行牙科器械一人一用一消毒,从根源上大大避免口腔内感染,并采用一医、一助、一机、一管、一消毒、一无菌包的消毒措施,做到无菌消毒。

- 上一篇:哪家医院洁牙好
- 下一篇:没有了














